33-летний житель Малайзии отрастил 42 зуба — и попал в книгу рекордов Гиннеса
Пратаб Мунианди работает инженером в нефтегазовой отрасли и воспитывает сына. А еще у мужчины 42 зуба, что на десять больше, чем у среднестатистического человека, и это позволило ему установить мировой рекорд среди мужчин.
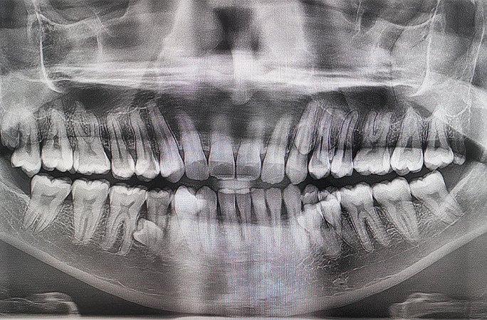
Малайзиец говорит, что долгое время даже не подозревал о своей особенности. Впервые он обратил на нее внимание в 2021 году во время семейного чаепития. По словам Пратаба, тогда он пошутил с родными, что, похоже, у него растут дополнительные зубы. Вместе они решили их сосчитать и обнаружили 38. Впоследствии рентгеновское обследование показало, что в челюсти есть еще четыре зуба, которые на тот момент не прорезались.
А недавно стоматологи, которые осматривали рот Мунианди для записи в Книгу рекордов Гиннесса, выяснили, что вскоре у него вырастет еще два зуба. Так что в будущем у малайзийца будет как минимум 44 зуба. Растут они тоже необычно, в 2 ряда, как у акулы.
Источник: @truekpru





















































